歯みがきをする親子

お子様将来

今から寄り添うために。

マイオブレース治療

5才以上の子どもの80%が

不正歯列・顎や顔の発育に問題があります。

顎や顔の発育が不十分だと、歯がきれいに並ぶスペースが足りなくなり、
将来的に歯並びが悪くなりがちです。
お口まわりの成長期にしっかりと十分な顎のスペースを確保できれば、
大人になってからのきれいな歯並びにつながります。
5〜8歳は、悪い歯並び(不正歯列)のリスクを減らすのに
よいタイミングです。

今まで歯並び矯正の主流だった

ブラケット(ハリガネ)
問題点

ブラケット矯正をしているお子さま
問題点 01

ブラケットの装着により
歯の表面がキズつく

問題点 02

歯を支える骨や
歯の根が溶けてしまう

問題点 03

歯の位置が
「あと戻り」してしまう

それに対して

マイオブレース なら!

担当医の写真
マウスピース

マウスピース

トレーニング

トレーニング

で行うので、負担を少なく
矯正治療を受けることができます

マイオブレースの特徴

石のあしらい
装着時間は日中1〜2時間と就寝時のみ

装着時間は日中1〜2時間
就寝時のみ

日中は1時間ほど装着すればいいので、家にいるときだけで十分です。 幼稚園や小学校、お出かけのときには必要ありませんので、お友達に気づかれることもありません。 そしてお布団に入る前に歯みがきをしてから装着して朝までぐっすり眠るだけです。

マウスピースなので取り外しも可能

マウスピースなので
取り外しも可能!

かんたんに取り外せますので、食べたり、飲んだり、歯をみがいたりなどの日常生活をいつものとおりできます。 ブラケット装置は取り外せないので歯みがきに工夫が必要で、しっかり汚れを落とさないと虫歯になりやすいのが心配です。

痛みがほとんどなく後戻りも心配ありません

痛みがほとんどなく
後戻りも心配ありません

ブラケットによる矯正治療では、かける力は弱いとはいえ強制的に歯を動かしますので、 痛みが出やすいといえますが、取り外し可能なマウスピース型なら、痛みはほとんどありません。 お口のまわりのトレーニングによって、健やかな成長を促します。

1日数分のトレーニングでお口の癖を改善

1日数分のトレーニングで
お口の癖を改善

アクティビティともいうトレーニングは、お口まわりの筋肉のバランスを整えるために、1回4分ほど、毎日2回ずつ行ってください。 通院は月に1回です。その際に、お口の状態に合わせて専属スタッフとともにトレーニングを行います。

施術を受けるメリット

石のあしらい
Merit01:説明用の写真

Merit 01

個室の専用アクティビティ
ルームで
専属スタッフが
トレーニング

Merit02:説明用の写真

Merit 02

分かりやすい
マニュアル・トレーニング

Merit03:説明用の写真

Merit 03

お子様が通いやすい
雰囲気作りを心掛けています

ビフォーアフター

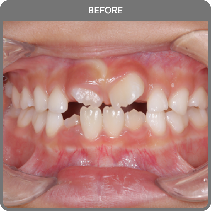
治療前の歯並び1
矢印
治療後の歯並び1
主訴・治療内容
下の歯がぐらぐらしている
筋機能訓練とマイオブレース装着
治療期間
1年半~2年
費用
55万円(税込)
リスク・副作用
1期矯正で改善しない場合は2期矯正の可能性があります。
マイオブレースでは決められた装置期間を守っていただく必要があります。 装着時間が短すぎると十分な効果が発揮がされませんのでご注意ください。
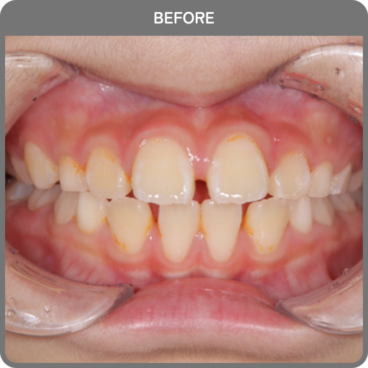
治療前の歯並び2
矢印
治療後の歯並び2
主訴・治療内容
前歯のがたつき
筋機能訓練とマイオブレース装着
治療期間
1年半~2年
費用
55万円(税込)
リスク・副作用
1期矯正で改善しない場合は2期矯正の可能性があります。
マイオブレースでは決められた装置期間を守っていただく必要があります。 装着時間が短すぎると十分な効果が発揮がされませんのでご注意ください。
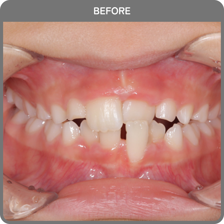
治療前の歯並び3
矢印
治療後の歯並び3
主訴・治療内容
上の歯がでている
筋機能訓練とマイオブレース装着
治療期間
1年半~2年
費用
55万円(税込)
リスク・副作用
1期矯正で改善しない場合は2期矯正の可能性があります。
マイオブレースでは決められた装置期間を守っていただく必要があります。 装着時間が短すぎると十分な効果が発揮がされませんのでご注意ください。

カウンセリングから
始めませんか

矯正治療が必要かどうかは、
歯科医院で実際にご相談してみなければ分かりません。
まずは無料でご相談を承りますので、
お電話やWebサイト予約からご予約をお願いいたします。
専門カウンセラーがお話を伺いますので、
何でもお気軽にご相談ください。

ドクターへの相談の様子

ドクターへの相談

専門スタッフが詳しくお話を伺い、ご質問などにお答えしたあと、 治療を担当するドクターによる診断で、さらに詳しく丁寧にご説明します。 治療に関するご要望なども遠慮なくお話ください。

専属トレーナーからのヒアリングの様子

専属トレーナーからの
ヒアリング

マイオブレース治療は、装置の装着とトレーニング(アクティビティ)による治療です。 当院では専属のトレーナーがサポートいたしますので、 この段階でもさまざまなご質問にお答えします。

口腔内写真の撮影の様子

口腔内写真の撮影

お口の中を鏡で見ても、どうなっているのかを患者様が把握するのは難しいものです。 無料相談では、口腔内写真を撮影し、親御様やお子様にご覧いただきながらご説明します。

マイオブレースの 料金表

石のあしらい
ご相談
無料
マイオブレース治療
500,000円 (税込550,000円)
定期検診
3,000円 (税込3,300円)
装置紛失の場合

※紛失の場合は1個目から

20,000円 (税込22,000円)

よくあるご質問

石のあしらい
Q.

小児矯正は何歳から始めるといいのですか?

A.

お口の状態や歯並びにより治療の開始時期は異なります。5歳から8歳までは上の顎が大きく発達しますので、健やかな成長を促し、口呼吸から鼻呼吸に導き、舌の位置やお口まわりの筋肉のバランスを整え、飲み込みを正しく行えるようにするのによい時期です。さらに姿勢の改善にもつなげられるので、治療開始によいタイミングの1つです。

Q.

適用年齢は何歳ですか?

A.

5〜8歳がおすすめです。

Q.

適用できない歯並びはありますか?

A.

マイオブレース治療は「出っ歯」や「受け口」「深い噛み合わせ」などさまざまな症例に対応します。まずはお気軽にご相談ください。

Q.

日中も装置を装着しなければなりませんか?

A.

装着は、睡眠中のほかは日中の1時間程度です。そのため、幼稚園や学校、外出のときは装着する必要はありません。

Q.

装置を装着するだけで歯並びはよくなりますか?

A.

装置の装着だけでなくアクティビティも必要です。口腔習癖を改善するための筋機能トレーニングを行わなければ十分な効果は期待できません。

スタッフ集合写真

マイオブレースなら
北千里カツべおとなとこども
歯科・矯正歯科

旗のあしらい

予防的な矯正治療ともいわれる「マイオブレース治療」は、 子どもの歯並びが悪くなる原因を事前に取り除き、顎の健やかな成長・発育を促し、 将来的にきれいな歯並びに導きます。当院では、その予防矯正の大切さをお伝えしていきますので、 お子様の歯並びに悩む親御様はお気軽にご相談ください。

南森町カツべ・こども矯正歯科 森山 善行

電話のアイコン 06-4798-5900 カレンダーのアイコン WEB診療予約